8 de dez. de 2010

A Fase do Patinho Feio

Como ortodontista, recebo pais preocupados com o posicionamento dentário de suas crianças na época da troca da dentição decídua (de leite) para a permanente. Uma das preocupações mais comuns é com o diastema (espaço) existente entre os incisivos centrais permanentes superiores, prejudicando a estética facial.
Apesar deste diastema ser normal até a erupção dos caninos superiores, já vi muitas crianças usando aparelhos ortodônticos para fechá-lo. E isto me assusta! Os pais, que são leigos, desejarem fechar o espaço, tudo bem. Mas o profissional? Não!!!
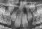
Este diastema, presente por volta dos 8 aos 11 anos, é esperado e geralmente fecha completamente após a erupção dos caninos permanentes superiores. A tentativa de fechá-lo ortodônticamente geralmente é desastrosa, pois, nesta fase da dentição mista, os caninos permanentes ainda não erupcionados estão em íntimo contato com as raízes dos incisivos laterais permanentes (como observado na radiografia). Assim, o movimento de fechamento do diastema joga as raízes dos incisivos centrais em direção aos laterais e, as raízes dos laterais, em direção aos caninos. E os caninos podem ficar sem espaço para erupção. A partir de então teremos um problemas ortodôntico verdadeiro: impacção dos caninos permanentes (eles ficam retidos dentro do osso, não erupcionam).
Nesta hora, que os pais estão impacientes com o diastema, o melhor tratamento é uma boa conversa, mostrando tudo o que foi falado acima. Não é à toa que esta fase é chamada de "fase do patinho feio": um diastema mediano considerável entre os incisivos centrais permanentes superiores, que parecem enormes e desproporcionais para a criança (pois já erupcionam com seu tamanho definitivo do adulto) que ainda está em crescimento.

Dra. Raquel Moreira Guimarães
Ortodontista - CRORJ 27986

http://www.oralodontologia.com.br/

25 de nov. de 2010

Implante Dentário

Os implantes dentários surgiram há mais de quarenta anos pelas mãos do Professor Per-Ingvar Branemark e, desde então, tornaram-se uma opção excepcional para a reablitação oral.

Através desses anos muitas pesquisas têm sido realizadas, novos conceitos idealizados e cada vez mais pacientes são reabilitados de diversas maneiras, desde o protocolo proposto por Branemark (uma prótese total fixada por implantes) até um implante unitário com carga imediata.

Isso demonstra a diversidade de técnicas que podem ser utilizadas com os implantes para que o paciente seja o maior beneficiado e acredito que nosso aprendizado com essas peças maravilhosas esteja apenas no começo.

O índice de sucesso dos implantes osseointegrados gira em torno de 95%, o que confere uma excelente previsibilidade e confiança nesse tipo de tratamento. Porém, temos que combater esses 5% que ainda falham. Enquanto isso o importante é esclarecer bem o paciente sobre esse risco e, se acontecer, dar todo o suporte para resolver o caso.

Quero ainda deixar uma única ressalva sobre os implantes. Não podemos tratá-los como uma panacéia, ainda existem casos que não conseguiremos utilizar essa poderosa ferramenta e, por isso, temos que nos esforçar a cada dia, através de muito estudo e pesquisa, no intuito de minimizar esses casos.

Dr. Rodrigo Coimbra de Almeida
CRORJ 25939
Implantodontia e Reabilitação Oral

http://www.oralodontologia.com.br/

12 de nov. de 2010

Periodontite Juvenil

A Periodontite Juvenil faz parte de um grupo de doenças periodontais severas que aparecem no início da puberdade, localizada em adolescentes e adultos jovens, e caracterizada pela destruição do periodonto de sustentação.


Trata-se de uma doença crônica inflamatória, onde ocorre grande destruição óssea. Pode ser classificada de duas formas: localizada e generalizada. Na localizada, afeta os primeiros molares e/ou incisivos permanentes e a destruição das lesões normalmente é simétrica. Na manifestação generalizada outros dentes são afetados, além dos molares e incisivos.


Este tipo de periodontite atinge crianças saudáveis na faixa etária entre onze e treze anos de idade, preferencialmente meninas, sendo quatro vezes mais prevalentes nelas. É também mais prevalente em melanodermas, embora não haja confirmação de prevalência em um grupo étnico.


O início se dá ao redor do período da puperdade, com lesões muito ativas, mas o diagnóstico pode ser realizado além da puberdade. A gengiva pode apresentar textura e cor normais, e pequena quantidade de placa em comparação ao grau de destruição óssea presente. As lesões tardias podem diminuir ou cessar espontaneamente.


O exame radiográfico apresenta rarefação na região dos primeiros molares permanentes superiores. Achados microbiológicos tem evidenciado o Actinobacillus actinomycetemcomitans, e alguns relatos de Porphyromonas gingivalis.


O tratamento é realizado por meio de terapia básica, com curetagem associada à antibioticoterapia.


André Temperini Campelo

Periodontista

CRORJ 33758



27 de out. de 2010

A Necessidade do Retratamento Endodôntico

Dando sequência ao texto anterior sobre retratamento, colocarei aqui um pouco da minha experiência na área de endodontia.
No consultório recebemos muitos pacientes com necessidade de retratar o(s) canal (is) de um dente, o que é uma pena, pois um tratamento realizado corretamente nunca precisa ser refeito.
Como em alguns casos não existe dor, muitos pacientes questionam a necessidade do retratamento. Mas o questionamento não para por aí, e se estende desde à competência do profissional que realizou o serviço ao valor pago e perdido no primeiro tratamento. Afinal, refazer é sempre mais complicado para o dentista e mais dispendioso para o paciente, e o fato do trabalho já ter sido realizado (e pago!), apesar de com outro profissional, é desagradável.
O tratamento endodôntico é composto de várias etapas (as quais realizamos em um dia, na maioria dos casos):
- limpeza química e mecânica dos canais;
- alargamento dos canais;
- obturação (vedamento) dos canais.
Todas as etapas têm que ser realizadas com perfeição ou, no futuro, podemos ter problemas no sucesso do tratamento. E é indispensável o uso do isolamento absoluto (aquele lençol de borracha que evita a contaminação do dente com saliva durante o tratamento).
Uma vez detectada a necessidade de retratamento endodôntico, antes dessas etapas é preciso desobturar os canais, com muita segurança e cuidado, para não perfurar as raízes. São marcadas mais consultas, não devendo ser tudo realizado de uma vez só.
Finalizado com eficiência o retratamento e a reconstrução da parte coronária, devolvemos ao dente sua função correta na mastigação e recuperamos também a estética. Mas, como vimos, não é simples. Logo, procure sempre um especialista!

Dra. Tatiana Murteira E. S. Tonelli
Endodontista
CRORJ 27994






27 de set. de 2010

Retratamento Ortodôntico

No dia-a-dia do consultório ficamos assustados com o grande número de pacientes que nos procuram para retratar, refazer procedimentos odontológicos realizados anteriormente por outros profissionais. Canais mal instrumentados e mal obturados ou perfurados; próteses grosseiras, mal adaptadas, sem função e sem estética adequadas; implantes mal posicionados, enfim, problemas em todas as especialidades. Não estou aqui para dizer que somos perfeitos, que somos melhores que os outros dentistas e que nunca nos equivocamos. Estou aqui para falar de erros básicos, da pobreza de diagnóstico, da falta de planejamento, de atenção e, principalmente, de respeito ao paciente, ao ser humano.
Vou me restringir à minha especialidade, a ortodontia. Quando descobrimos que dentes poderiam ser movimentados através do osso de suporte, inúmeros estudos foram e são realizados até hoje para melhor entendermos a biologia deste complexo procedimento. Mas há pessoas, profissionais e leigos, que acham tudo isso muito simples, fácil, não é mesmo? Afinal, não estão vendo a raiz, a parte do dente que realmente sofre a força e realiza o movimento.
A responsabilidade é enorme. Um tratamento ortodôntico mal realizado, muitas vezes, não tem volta. A raiz dentária, uma vez reabsorvida, não regenera mais. É comum ver dentes, sem histórico de trauma, terem suas raízes reabsorvidas e a sustentação comprometida depois de um tratamento ortodôntico feito por profissional mal capacitado. Há tantos casos...
Abro parenteses aqui para falar também dos pacientes irresponsáveis, que faltam as consultas, que quebram o aparelho, que não têm boa higienização, que não seguem o que é orientado pelo profissional. Tudo isso compromete o tratamento, mas é assunto para um próximo texto. Assim, vamos excluir este tipo de paciente e manter o foco nos profissionais.
Quando atendo, pela primeira vez, um paciente candidato ao retratamento ortodôntico, deixo tudo muito claro. É muito triste falar dos riscos e limites de um retratamento, principalmente quando o paciente acha que está tudo bem, que simplesmente outro ortodontista irá resolver o seu caso, sem maiores problemas. Muitos não querem ser submetidos às novas radiografias e à toda aquela documentação, não acreditam em um novo e provavelmente mais longo tempo de tratamento. Há aqueles que, com razão, se revoltam. Se falta seriedade em alguns profissionais, porque não faltaria no paciente que é leigo, que não enxerga a complexidade de um tratamento ortodôntico? A maioria das pessoas leigas acredita que usar aparelho é bonitinho (ou nem tanto), que é só escolher o lugar que cobra mais barato e sair de lá com o aparelho montado nos dentes, e que daí para frente é só ir "apertar" e tudo se resolverá bem.
Mas como escolher um bom profissional de saúde, independente da área? Como minimizar os riscos? Infelizmente o "não saber fazer" não é freio para muitos que se dizem especialistas. O CRO (conselho regional de odontologia) faz a sua parte através de denúncias de outros profissionais e de pacientes, mas até lá muitos já sofreram danos.
O leigo, o paciente que procura tratamento, não precisa entender os procedimentos. Mas deve enxergar que ortodontia é saúde e é coisa séria e que sua escolha deve minimizar riscos. É importante não achar que todos os profissionais são iguais e procurar informações sobre eles com o CRO (www.cro-rj.org.br) e até mesmo com outros profissionais e pacientes.
São necessários trinta meses de pós-graduação em ortodontia para formar um bom profissional. Mas não basta. O estudo deve ser constante durante uma carreira profissional séria. Ou seja, para se qualificar é necessário muita dedicação e investimento financeiro. É bom lembrar disso quando procuraramos um profissional qualificado, pois dificilmente seus honorários serão os dos nossos sonhos. E nem sua consulta inicial será uma simples "olhadinha", como muitas vezes, nessa vida corrida, buscamos.
Talvez seja mais fácil e até inconsciente valorizar o supérfluo: a TV com a melhor imagem, o tênis de marca, o celular mais moderno. Afinal, são bens palpáveis, diferente da saúde.
Com tudo isso nós, pacientes, devemos escolher com consciência quem cuidará da nossa saúde para não comprometermos nossa qualidade de vida. E nós, profissionais, devemos ser honestos e ter respeito pela saúde das pessoas, encaminhando o tratamento para outro profissional quando o melhor a ser feito para o paciente ultrapassa nossos limites.

Raquel Moreira Guimarães
Ortodontista CRORJ 27986

www.oralodontologia.com.br









15 de set. de 2010

Resina em Dentes Posteriores

O uso de resinas em dentes posteriores tornou-se rotina nos consultórios odontológicos. Mas isto somente foi possível devido à evolução das resinas fotopolimerizáveis, hoje mais resistentes e possíveis de serem realizadas nestes dentes.
A substituição de restaurações escuras (por exemplo, de amálgama de prata) em boas condições por resinas fotopolimerizáveis tem motivação puramente estética. Nos últimos anos a demanda por tratamentos estéticos aumentou consideravelmente, não só nos consultórios médicos, mas também nos odontológicos. Cresce a busca por dentes perfeitamente alinhados, por sorrisos cada vez mais brancos e, assim, por restaurações invisíveis.

Mas quem nunca ouviu que as restaurações antigas são as melhores? Que resina em dente posterior não dura? Até há um tempo atrás, tudo bem. Mas hoje....

Além do benefício estético, as resinas compostas apresentam outra excelente vantagem: adesão à estrutura dentária. Isto é, o dente não precisa ser tão desgastado, para ter um preparo retentivo, como deve ser para receber uma restauração de amálgama. Assim, preserva-se o dente ao máximo. Mas os dentes que já estão restaurados com amálgama, no caso de troca do material por resina, podem requerer um desgaste maior (se o amálgama manchou o dente), ou a restauração ficará com sombras.

Podemos ainda ressaltar que, após confeccionada a restauração, não é necessário esperar horas para se alimentar. A alimentação pode ser imediata.

Outra vantagem é a ausência de contato com o mercúrio, mais para o profissional do que para o paciente. Já foi provado que isto não ocasiona danos à saúde do paciente, mas sim ao profissional que tem contato diário com o material.

Uma pequena desvantagem está na sensibilidade que pode aparecer, principalmente se a restauração for muito profunda e se o paciente já apresenta dentes sensíveis. Mas o dentista capacitado conhece os passos para minimizar este desconforto durante a confecção da restauração.

Por tudo isso, conclui-se que o uso de resinas compostas em dentes posteriores é totalmente viável desde que haja uma correta indicação e um correto planejamento e execução por parte do profissional, alcançando máxima estética e durabilidade.


Dra. Paula Alves Tepedino
Especialista em Estética
CRORJ 30715







30 de ago. de 2010

As Mudanças nos Objetivos do Tratamento Ortodôntico




Há muitos anos dentes irregulares são um problema para alguns indivíduos e inúmeras tentativas de correção foram tentadas.
Mas por várias décadas a correção da posição dos dentes foi mais valorizada que a melhora das proporções faciais e, consequentemente, da estética.
Com o passar do tempo ficou claro que um excelente relacionamento dentário não era satisfatório às custas de proporções faciais incorretas.
Assim, há pouco tempo a ortodontia mudou em três aspectos importantes:
1- É dada uma importância maior à aparência dentofacial, que interfere muito na qualidade de vida de uma pessoa. Os ortodontistas finalmente entenderam que os pais e os pacientes procuram o tratamento para melhorar o aspecto facial e vencer os problemas psicológicos e sociais relacionados à aparência (como nas fotos acima, onde os pais se preocupavam com o aspecto "desdentado" do sorriso da filha e com o perfil "achatado" de sua face antes do tratamento ortodôntico. Fotos do livro de William Profit.).
2- A expectativa do paciente em relação ao tratamento dentário é ouvida e é permitido um envolvimento maior do paciente no plano de tratamento. É o fim da visão paternalista, onde o ortodontista não permite a discussão das opções do tratamento com o paciente e/ou os pais.
3- A ortodontia é frequentemente oferecida à pacientes mais velhos, em conjunto com outras especialidades odontológicas (prótese, periodontia e implantes, por exemplo). O objetivo maior não é alcançar a melhor estética ou posicionamento dentário, e sim manter a dentição por um período mais longo.

Dra. Renata de Carvalho Marinho
Ortodontista e Radiologista
CRORJ 29187

http://www.oralodontologia.com.br/

17 de ago. de 2010

Reabilitação - Relato de Caso Clínico




A paciente, de 68 anos, chegou ao consultório relatando problemas na articulação temporomandibular (ATM), que tiveram origem após um tratamento odontológico: dor, edema ao acordar, dificuldade na mastigação e fadiga muscular. No exame clínico foram constatadas próteses mal adaptadas, inflamação gengival, aumento da dimensão vertical de oclusão, além de uma estética muito desfavorável. Após anamnese, exame físico, avaliação clínica e radiográfica e confecção de modelos de estudos, foi feito um planejamento criterioso para um tratamento de reabilitação oral utilizando próteses metalocerâmicas (porcelana).
O tratamento teve início no dia 21/09/2009 com remoção de todas as próteses superiores, instalação dos provisórios e ajuste oclusal.
Na consulta seguinte, surpreendentemente, a paciente já relatou remissão de todos os sintomas. Foi feito a remoção de todas as próteses inferiores, instalação dos provisórios e ajuste refinado da oclusão. Com isso, foi recuperada a dimensão vertical de oclusão, conseguindo uma posição de conforto para a ATM.
Após várias etapas laboratoriais e clínicas, envolvento também tratamento periodontal, o tudo foi finalizado em 04/08/2010. Quase um ano de muito trabalho que teve como frutos a reabilitação funcional, estética e psicológica da paciente. No entanto, o fruto mais valioso foi a amizade que surgiu e que seguirá com certeza para a vida toda.

Rodrigo Coimbra de Almeida
Reabilitação Oral - CRORJ 25939
http://www.oralodontologia.com.br/


2 de ago. de 2010

A Importância do Sorriso


Dentre as várias especialidades odontológicas a prótese e a dentística são as que mais alteram o padrão estético do sorriso. E eu, mesmo sendo endodontista, sou uma eterna apaixonada pela prótese.

Nestas fotos apenas demonstramos como simples alterações, as quais podem ser facilmente realizadas no consultório, podem modificar a oclusão e o sorriso. A prótese superior foi trocada por uma nova e, bem planejada, agora dá suporte ao lábio superior, rejuvenescendo a face. Os dentes superiores ficaram mais proporcionais e aparentes ao sorrir, também colaborando esteticamente. As restaurações escurecidas dos dentes inferiores foram refeitas.

A paciente está sorrindo muito mais, está mais segura e diz que algumas pessoas até suspeitaram de plástica. A mudança foi enorme e este é um dos momentos que fazem da nossa profissão um trabalho muito gratificante. Não há alegria maior que poder tornar a vida de outra pessoa melhor.

Dra. Tatiana Murteira Esteves Silva Tonelli
Endodontista - CRORJ 27994

www.oralodontologia.com.br








26 de jul. de 2010

Hiperplasia Gengival Idiopática

As fibromatoses gengivais são lesões de caráter benigno que se caracterizam por uma hiperplasia (crescimento), com lesões de coloração parda e avermelhada, que se localizam na gengiva, circundando as coroas dos dentes tanto anteriores como posteriores. Esta patologia causa aos pacientes traumatimos, dificultando a mastigação, a higienização e propiciando o acúmulo de placa e a gengivite com sangramento.

A causa das fibromatoses ainda não está esclarecida, mas provavelmente é de caráter multifatorial, estando relacionada à perda prematura de dentes e à gengivite. Geralmente está associada à má higiene bucal, presença local de bactérias capazes de causar inflamação e servir de reserva de toxinas, periodontite e profundidade das bolsas periodontais. Pode existir uma correlação entre um componente hereditário e o aparecimento da doença.


O acúmulo de placa é essencial para o início da hiperplasia gengival, dessa forma, o controle dos fatores bucais locais, bem como os cuidados com a higiene oral, são condições fundamentais tanto na prevenção quanto na recidiva dessa doença.


O prognóstico das fibromatoses gengivais é bom, desde que o tratamento cirúrgico seja feito seguindo as técnicas periodontais de gengivectomia e gengivoplastia, com ampla margem de segurança, uma vez que a permanência de tecido alterado fatalmente resulta em recidiva.


Para a realização do diagnóstico da hiperplasia gengival idiopática é fundamental que se procure um cirurgião-dentista especialista em periodontia, visando, com isso, a indicação do tratamento mais adequado.


André Temperini Campelo

Periodontista - CRORJ 33758




19 de jul. de 2010

Ortodontia e DTM - Parte 2

Hoje a postagem não seria sobre ortodontia, mas devido à algumas dúvidas que surgiram durante a semana, resolvi complementar a postagem da semana passada. A mais relevante, que me levou a escrever mais um pouquinho hoje, foi a seguinte pergunta: "Se a ortodontia não resolve os problemas de DTM, por que os pacientes ficam aliviados da dor assim que colocam o aparelho ortodôntico?".

Realmente isto acontece, tanto na ortodontia convencional quanto na ortodontia lingual.

Quando começamos a movimentar os dentes ortodonticamente eles ficam doloridos, principalmente quando encostamos neles, como na mastigação. Desta forma, com os dentes muito sensíveis ao toque, qualquer tipo de apertamento e rangido desaparecem como mágica. Mas não há mágica alguma, simplesmente o hábito aumenta a dor de tal forma que nosso organismo o interrompe imediatamente.

A hora da verdade é a hora da remoção do aparelho ortodôntico. Da mesma forma rápida que o hábito desapareceu ele volta e ocorre uma grande frustração por parte do paciente, que culpa o ortodontista por falhas no tratamento.

Mais complicado ainda é realizar tratamento ortodôntico em pacientes que já usam placas para bruxismo e não têm mais os sintomas dolorosos. A remoção da placa trás o hábito de volta e o uso do aparelho pode ser intolerável nestes casos.

Assim, devemos esclarecer os pacientes antes do início do tratamento quanto às suas espectativas em relação à solução da DTM ortodônticamente, evitando criar este tipo de frustração. Lembrem-se: o paciente com DTM normalmente sofre muito com a dor miofascial e busca uma solução há algum tempo (provavelmente já passou por médicos e dentistas), podendo ter colocado todas as suas esperanças em curá-la através do tratamento ortodôntico.

Raquel Moreira Guimarães
Ortodontista - CRORJ 27986

http://www.oralodontologia.com.br/

12 de jul. de 2010

Ortodontia e DTM

Muitos pacientes chegam ao consultório ortodôntico com queixa de dor na ATM (articulação temporomandibular) depois de terem passado por vários médicos e dentistas com suspeita de otite, nevralgia do trigêmeo e uma série de problemas que podem ser relacionados à esta região. Como explicar para eles que o tratamento ortodôntico pouco ou nada pode fazer para aliviá-las deste desconforto?

Há uns dias, relendo sobre o assunto, resolvi usar as palavras do autor William R. Proffit para postar um texto sobre ele, dando um maior embasamento ao que pretendo explicar. Ficou um pouco longo, mas a leitura é bem interessante e esclarecedora:

"A relação da má oclusão e da função adaptativa com a Disfunção da Articulação Temporomandibular (DTM), manifestada como dor dentro e ao redor da ATM é mais compreendida agora. A dor pode resultar de mudanças patológicas na ATM , mas é causada mais frequentemente por fadiga e espasmo muscular. A dor muscular quase sempre está relacionada com uma história de apertamento ou ranger dos dentes como resposta à situações estressantes ou com a postura constante da mandíbula em uma posição mais anterior ou lateral.

Alguns dentistas sugeriram que até mesmo pequenas imperfeições na oclusão servem para iniciar atividades de apertamento e de rangido. Se isto fosse verdade, indicaria uma necessidade real de aperfeiçoar a oclusão em todas as pessoas para evitar a possibilidade de aparecimento de dor na musculatura facial. Como o número das pessoas com más oclusões pelo menos moderadas excedem em muito aquelas com DTM, não parece provável que os padrões oclusais por si só sejam suficientes para causar a hiperatividade da musculatura oral. Uma reação ao estresse geralmente está envolvida. Além disso, a maioria das pessoas com má oclusão não têm problemas com dor muscular quando estressadas, mas desenvolvem sintomas em outros sistemas orgânicos. Raramente um indivíduo tem colite ulcerativa (relacionada ao estresse) e DTM associadas. Alguns tipos de má oclusão (especificamente a mordida cruzada posterior com deslocamento no fechamento) estão positivamente relacionados com problemas na ATM, mas têm uma relação muito fraca. Isso significa que para a maioria das pessoas não existe associação entre a má oclusão e a DTM.

Somente se um paciente responde ao estresse aumentando a atividade muscular oral, com dor, a má oclusão pode colaborar para tornar o problema mais grave. Portanto, o tratamento ortodôntico pode auxiliar os outros tratamentos para dor muscular, mas a ortodontia como tratamento primário quase nunca é indicada."

Raquel Moreira Guimarães
Ortodontista - CRORJ 27986

http://www.oralodontologia.com.br/

5 de jul. de 2010

Pino de Fibra de Vidro


A odontologia atual vive uma fase na qual o desejo de um sorriso mais belo leva inúmeras pessoas aos consultórios odontológicos em busca de alternativas estéticas que atendam aos seus anseios.


Com o objetivo de atender a essa grande demanda, os fabricantes de materiais odontológicos investem cada vez mais no desenvolvimento de produtos relacionados a estética. Os pinos de vibra de vidro representam hoje o futuro no campo de reconstrução de dentes com tratamento endodôntico (tratamento de canal).


Quando a perda de tecido coronário é grande e não existe a possibilidade de restaurá-lo com materiais restauradores diretos (resinas), a reconstituição é feita através de uma coroa protética. Mas antes cimentamos um pino intracanal para dar maior estabilidade e resistência à coroa.


O pino intracanal mais utilizado é o metálico, que infelizmente dá um aspecto final "acinzentado" à coroa que o recobrirá depois, como uma sombra. Funciona como um fundo opaco, mas escuro, negro. Além disso, a margem gengival também pode ficar com um contorno escurecido, aparecendo muito no sorriso e prejudicando a estética.


Uma solução, quando ainda resta alguma parede da coroa dentária, é o pino de fibra de vidro. Ele está sendo cada vez mais preferido devido à translucidez e união adesiva ao cimento resinoso, fazendo com que diminua o risco de fraturas radiculares. Pode ser transparente ou opaco, mas é claro, não atrapalhando o resultado final.


Outra vantagem é a agilidade clínica, pois é confeccionado e inserido em uma só consulta, não havendo fase laboratorial. Em outras palaras, não é necessário modelar o canal radicular e enviar para o protético fundir a peça, como acontece com o pino metálico.


Assim, fica muito mais fácil reconstituir a cor original dos dentes, mantendo um sorriso bonito e natural. Afinal, a prótese total ou unitária (coroa) ideal é aquela que não elogiamos... pois não conseguimos nem percebê-la!
Dra. Paula Alves Tepedino
Especialista em Estética
CRORJ 30715








28 de jun. de 2010

Tomografia Computadorizada de Feixe Cônico (Cone Beam)


A tomografia computadorizada (TC) trata-se de um método de diagnóstico por imagem que utiliza a radiação X e permite obter a reprodução de uma secção do corpo humano nos três planos do espaço. Diferentemente das radiografias convencionais, que projetam em um só plano todas as estruturas atravessadas pelos raios-X, a TC evidencia as relações estruturais em profundidade.


O advento da tomografia computadorizada de feixe cônico (TCFC), ou cone beam, representa o desenvolvimento de um tomógrafo relativamente pequeno e de menor custo, especialmente indicado para a região dentomaxilofacial. O desenvolvimento desta nova tecnologia está provendo à Odontologia a reprodução da imagem tridimensional dos tecidos mineralizados maxilofaciais, com mínima distorção e dose de radiação significantemente reduzida em comparação à TC tradicional.


Atualmente, a TCFC vem se desenvolvendo no cenário odontológico de forma muito significativa, principalmente nas áreas de Implantodontia, Diagnóstico Bucal, Cirurgia e Ortodontia. Desta forma, através da tomografia computadorizada de feixe cônico podemos aumentar substancialmente as habilidades do dentista para identificar condições que não são detectadas com os métodos tradicionais.


Entre as principais indicações da TCFC podemos destacar:


- O planejamento de implntes (ver altura e espessura do osso);

- Avalição dos terceiros molares inferiores (sua proximidade com o canal mandibular);

- Localização de dentes inclusos;

- Estudo da ATM;

- Avaliação dos seios maxilares;

- Patologias (localização precisa, tamanho e extensão da lesão).


Renata de Carvalho Marinho

Especialista em Radiologia Odontológica

Ortodontista - CRORJ 29187

21 de jun. de 2010

Facetas de Porcelana










-------------------------------------------------------------------
Está insatisfeito com a estética dos seus dentes?

Seus dentes são "tortinhos" mas não suporta usar aparelho ortodôntico?

Acha que seus dentes são muito pequenos?
Você já ouviu falar de facetas?


Pois é, elas podem solucionar as interrogações acima.


As facetas têm como objetivos principais melhorar a estética, alinhar dentes mal posicionados e ainda alterar a forma dos dentes. São realizadas nos dentes anteriores, geralmente de canino a canino, promovendo pequenos preparos principalmente na superfície vestibular ("na frente") dos dentes e o material que se usa é a porcelana.

Melhoram a estética de dentes amarelados, escurecidos ou então daqueles dentes com muitas restaurações de resina que não proporcionam um sorriso harmonioso. Nos casos de dentes muito amarelados ou escurecidos um clareamento prévio pode ser indicado.

No alinhamento de dentes mal posicionados ou com pequenos apinhamentos as facetas também têm sua aplicação, principalmente quando o paciente não quer usar aparelhos ortodônticos ou procuram uma rápida solução para o problema.

Existe ainda uma indicação muito valiosa para o uso das facetas de porcelana: quando o paciente possui dentes curtos ou pequenos. Nestes casos conseguimos alterar a forma e o tamanho dos dentes, fazendo com que o paciente tenha satisfação em sorrir.

Dr. Rodrigo Coimbra de Almeida
Reabilitação Oral - CRORJ 25939


14 de jun. de 2010

O que é Gengivite?

Em algum momento da vida já tivemos ou teremos algum sangramento, nem que seja leve, na gengiva. Geralmente é percebido ao passar o fio dental ou durante a escovação. Mas este sangramento não é normal e ocorre devido à uma inflamação na gengiva, conhecida como gengivite.

A gengivite é uma doença no estágio inicial e é a mais fácil de ser tratada. A causa direta da doença é a placa (aquela "massa" branca, composta de restos de alimentos e bactérias) que não removemos dos dentes e da gengiva. Neste estágio inicial da doença os danos podem ser revertidos, uma vez que o osso e o tecido conjuntivo (ligamento periodontal) que segura os dentes no lugar ainda não foram atingidos. Se a gengivite não for tratada, ela pode evoluir para uma periodontite, muito conhecida pelo nome de "piorréia". A periodontite pode causar danos permanentes nos dentes, que perdem o suporte. A mobilidade dentária aumenta com o passar do tempo levando à perda total de um ou mais dentes (ou todos!).


A cor de uma gengiva saudável é rosa, podendo ser marrom. Os sintomas da gengivite são gengivas vermelhas, inchadas (como na foto) e sensíveis que podem sangrar durante a higienização. Outro sintoma da doença é o recuo ou retração da gengiva. É importante não interromper o uso do fio dental nem da escovação devido ao sangramento, pois só com a remoção completa da placa a gengiva ficará saudável novamente.


O especialista em problemas da gengiva, ligamento periodontal, cemento (superfície da raiz do dente) e osso é o periodontista. Além de atuar diretamente na cura da doença, o profissional é responsável pela orientação correta de higienização, para prevenir o início da doença ou a volta dela naqueles pacientes anteriormente comprometidos.


Previna-se!


Dr. André Temperini Campelo

Periodontista - CRORJ 33758





7 de jun. de 2010

Desmistificando a Endodontia

Das várias especialidades odontológicas, a Endodontia continua sendo a mais temida. Para a maioria dos pacientes, tratar o canal de um dente é um procedimento doloroso, desconfortável e que leva semanas ou até mesmo meses para ser concluído.

Tudo isso é MITO!


Hoje em dia, as técnicas estão muito evoluídas, os materiais melhores e os profissionais cada vez mais capacitados. Com os anestésicos que utilizamos, a analgesia é bem mais profunda, sendo muito remota a chance de o paciente sentir qualquer dor.


Além disso, quase todos os casos podem ser finalizados em uma única sessão, inclusive casos de necrose pulpar e retratamentos, acabando com aquela odisséia que era o tratamento endodôntico.


Acho que o único ponto negativo do tratamento em sessão única (quando indicada corretamente) é um leve desconforto pós-operatório, principalmente à mastigação, que pode ser facilmente minimizado com um analgésico ou, em alguns casos, um anti-inflamatório.


Por último, gostaria de salientar que todos os casos precisam de prévia avaliação para que possamos indicar o tratamento corretamente.


Dra. Tatiana Murteira Esteves S. Tonelli

Endodontista - CRORJ 27994


31 de mai. de 2010

Apinhamento Tardio dos Incisivos Inferiores


A seguinte frase é muito comum: "Se você não extrair os sisos, eles irão entortar (apinhar) os outros dentes!", principalmente depois de um tratamento ortodôntico.


O apinhamento tardio dos incisivos inferiores pode ocorrer entre os 17 e os 30 anos e acontece também em indivíduos que possuem ausência congênita dos terceiros molares (sisos).


Os sisos acabam levando a culpa pois o apinhamento normalmente coincide com a época da erupção desses dentes. Como dentes em erupção provocam pressão, parece bastante óbvio, até para os dentistas, que esta é a causa do apinhamento tardio dos incisivos.


Mas se não há força de eupção capaz de causar este apinhamento, o que realmente acontece?


No final da adolescência, a mandíbula (maxilar inferior) tem um crescimento tardio, que não é acompanhado pelo crescimento maxilar superior. Assim, os dentes se movimentam para compensar esta diferença. O mais comum é os dentes incisivos inferiores inclinarem para trás, apinhando.


Outras duas reações (menos comuns) ao crescimento tardio da mandíbula podem acontecer: (1) os incisivos inferiores não mudam de posição e empurram os incisivos superiores para frente, abrindo um diastema (espaço) entre os dentes superiores, no centro da dentição superior ou (2) uma forte oclusão anterior dos dentes superiores com os inferiores empurram a mandíbula para trás, causando uma disfunção na articulação temporomandibular (articulação da mandíbula com a base do crânio), deslocando o disco articular e ocasionando dor e disfunção.


Até na presença de mordida aberta anterior (quando os dentes anteriores superiores e inferiores nunca se tocam) o apinhamento tardio dos incisivos pode acontecer. Neste caso, a pressão do lábio ajuda a empurrar os incisivos para trás quando a mandíbula cresce.


Na maioria das pessoas os terceiros molares estão impactados porque não há espaço para sua erupção. Nesta condição, podem dificultar o deslocamento dos outros dentes para trás durante o crescimento mandibular remanescente e talvez determinem o grau de apinhamento que ocorrerá (maior ou menor), mas nunca são a causa dele.


Assim, os sisos inferiores seriam "o último elo" numa cadeia de eventos que leva ao apinhamento tardio dos incisivos. Como também ocorre em pessoas que não têm sisos, a presença deles não é importante como é a quantidade crescimento mandibular remanescente.
Raquel Moreira Guimarães
Ortodontista - CRORJ 27986





20 de mai. de 2010

Clareamento Dental

A auto estima é um fator relevante no convívio social. Muitas pessoas deixam de sorrir devido à uma estética dental prejudicada. Nos casos onde o fator primordial deste comportamento é a alteração da cor, o clareamanto dental pode ser a solução.
A alteração de cor pode ser devido à fatores externos e internos, localizada em um ou mais dentes, ou em todos. A mancha extrínseca fica na região mais externa do esmalte e pode ser causada por pigmentos dos alimentos (café, chá, refrigerantes, corantes de biscoitos, etc) e tabaco. Quando está no íntimo da estrutura dental é devido ao traumatismo, tetraciclina (ingerida durante a calcificação do esmalte), necrose pulpar, excesso de material obturador de canal, etc.
Há três tipos de clareamento: o clareamanto vital feito em consultório, o clareamento vital feito com moldeiras personalizadas e o clareamento não vital ( de dentes com canal tratado). Em nosso site há maiores detalhes das técnicas: http://www.oralodontologia.com.br/

O clareamento feito no consultório e o caseiro supervisionado pelo dentista, sem exageros, não traz danos aos dentes, às mucosas e à saúde em geral. O pigmento é quebrado em uma reação de combustão e sua estrutura é muito semelhante ao esmalte dental, assim, feito sem limites, leva à quebra química da estrutura do esmalte, causando danos irreversíveis.

Seu resultado é comprovado e a estabilidade tem média de dois anos. A manutenção deve ser feita pelo dentista e o paciente deve seguir as restrições de alimentação durante o tratamento.
Como o gel clareador não tem efeito sobre as restaurações e próteses, estas devem ser trocadas a partir de 10 dias após o término do clareamento, quando ocorre a estabilidade da cor.

Atualmente o clareamento dentário é o tratamento mais procurado nas clínicas odontológicas. Não podemos mais negar que a estética faz parte do nosso dia-a-dia, tanto na área pessoal como na profissional. Afinal, quem não quer um sorriso lindo, mais branco e brilhante?


Dra. Paula Alves Tepedino
Especialista em Estética
CRORJ 30715


Nosso consultório de clareamento dental em Icaraí fica na Oral Odontologia. Acesse http://www.oralodontologia.com.br/ e agende uma consulta.






14 de mai. de 2010

Excelência no Atendimento



Quando fizemos nosso site, muitos pacientes colaboraram com seus depoimentos. Para aqueles que leram, como para nós da Oral, uma "surpresa" muito agradável aconteceu: o nome da Eliza, nossa querida secretária, foi citado em quase todos os depoimentos. Agradecemos à todos que escreveram e ficamos muito felizes por ter, além do nosso trabalho reconhecido, o carinho e a amizade de vocês.

Mas o que pensa Eliza? O que a faz ser tão atenciosa com todos? Só perguntando para ela...

"É primordial, logo no primeiro contato, que o paciente sinta-se bem à vontade no consultório para que ele tenha vontade de voltar e começar um tratamento. O bem tratar às pessoas faz bem para ambas as partes. Nós, da recepção, temos o compromisso de receber todos com atenção, dedicação e carinho.

Algumas pessoas que procuram um consultório odontológico chegam aqui necessitando de ajuda e atenção. Qualquer pessoa bem tratada, em qualquer lugar, volta e indica você para amigos, parentes, etc.
A cortesia e a maneira discreta de falar são muito importantes. Não devemos fazer perguntas indiscretas, que deixem as pessoas constrangidas.

Tratar as pessoas com respeito é algo que eleva e dignifica o nosso trabalho.

O resultado é esse, e esta é a minha maior recompensa: a satisfação de todos ao meu redor.

Muito obrigada."

Maria Eliza Quadros Romão
ACD RJ 11997



4 de mai. de 2010

Implantes: Carga Imediata


O protocolo inicialmente proposto por Branemark preconizava que, após a instalação do implante, seria preciso aguardar um período de três a seis meses para que ocorresse a osseointegração.
Porém, atualmente, com a exigência estética cada vez maior por parte dos pacientes, se faz necessário o desenvolvimento de técnicas que adequem essa exigência ao bom andamento e sucesso do tratamento. Com isso surgiu a técnica da carga imediata.
Essa técnica consiste em instalar uma prótese, seja unitária, seja múltipla, no mesmo momento do ato cirúrgico de colocação do implante, ou seja, quando ainda não ocorreu o processo da osseointegração.
Para que essa técnica seja empregada é preciso que o paciente passe por um exame minucioso que irá avaliar sua condição de saúde geral como também a qualidade e quantidade óssea disponível para a instalação dos implantes.
Além dos fatores relacionados ao paciente, alguns fatores técnicos são fundamentais para o sucesso do tratamento com carga imediata, entre os quais podemos citar a estabilidade primária dos implantes que devem apresentar torque superior a 40N (medida da "pressão" conseguida na instalação do implante).
Este assunto é bem atual e tem sido rotina, tanto dentro quanto fora do consultório. Estou à disposição para conversamos mais sobre ele, inclusive pessoalmente, e esclarecer dúvidas. Todas as formas de contato estão em nosso site, acesse!
Rodrigo Coimbra de Almeida
Reabilitação Oral - CRORJ 25939

14 de abr. de 2010

Sorrindo no Altar


Imagina a cena: a noiva entra, linda, e todos estão olhando para ela. O vestido foi muito bem escolhido (e caro)! Cabelo, maquiagem, sapato, flores... tudo perfeito! Afinal, foi um ano inteiro de preparativos, não só investimento na aparência, mas também em todos os detalhes da festa. Mas quando ela sorri...



Tenho ouvido estórias assim com muita frequência. "Doutora! Planejei tudo, mas esqueci do meu sorriso. Caso semana que vem, e agora???".


É claro que não é o ideal, mas existem muitos procedimentos que podem ser feitos com "urgência" e sem custo extra para isso. Mas qual são os procedimentos odontológicos mais procurados pelas noivas?

Clareamento dental

Facetas de porcelana



Correção do sorriso gengival

Fechamento de espaços (com resinas, facetas ou ortodontia)


Alinhamento dentário (ortodontia lingual - colado por trás dos dentes, o aparelho não aparece e, assim, não precisa ser removido às pressas antes do casamento. E tem mais uma vantagem: é possível clarear os dentes durante qualquer fase do tratamento!).



Este interesse crescente em odontologia estética "pré-casamento", o que eu chamo de "sorrindo no altar", não é exclusivo das noivas. Noivos, madrinhas, padrinhos, enfim, quase todos os envolvidos no "grande dia" têm procurado cada vez mais ajuda profissional. E nós, dentistas da Oral Odontologia, estamos preparados para ajudar na realização desse sonho.



Afinal, casamento não é dia de sorriso amarelo!



Dra. Raquel Moreira Guimarães

Ortodontista - CRORJ 27986

www.oralodontologia.com.br


















16 de mar. de 2010

Rodrigo Coimbra de Almeida

Realmente começar a escrever é muito difícil. Poderia iniciar esse texto falando de toda dificuldade dos meus pais em manter minha irmã e eu nos melhores colégios de Niterói para que tivéssemos as oportunidades que eles não tiveram. Minha mãe até que se formou professora, mas não chegou a dar uma aulinha que fosse, pois se casou e "veio pra cidade grande". Meu pai, realmente sem chance nenhuma de estudar, teve que se contentar com a quarta série primária. Daí se pode imaginar todas as dificuldades pelas quais passamos. Reclamações? Nenhuma, somente satisfação de ter passado por todas, o que tornou essa vitória familiar muito mais saborosa. Minha família já sabe, mas quero tornar público todo o meu agradecimento. Ao meu pai, sem sombra de dúvida, simplesmente devo tudo que sou, à minha mãe, que sempre esteve ao meu lado e à minha irmã, inspiração em todos os sentidos, até na profissão. E cabe ainda um mais do que especial: madrinha, obrigado. Ah! Seria injustiça faltar o agradecimento ao ASSIS.
Faculdade, o que falar da UFRJ?! Já sei: não queria sair nunca de lá. Realmente depois que me formei tentei ficar, todavia só mais seis meses, depois, vida real. O Fundão para mim era um lugar que você só vê nos mais belos sonhos. Não, lá não é um paraíso com verdes campos, cachoeiras, pássaros lindos. Lá é feio, muito feio, mas me trazia um bem estar enorme e hoje eu sei o motivo... eu amo odontologia.
Lá também conheci Raquel e Tatiana, eu um veterano cruel e elas calouras indefesas. Sabe aquele ditado "A primeira impressão é a que fica."? Balela, perguntem para Raquel. Mal sabíamos que dali surgiria a Oral Odontologia Integrada. A vida é incrível e a minha é também maravilhosa, graças a Deus!
Hoje, com 10 anos de formado, faço questão de fazer mais uma justiça. Desde de 31/03/2001 tenho ao meu lado uma pessoa que sempre me incentiva, que nos momentos difíceis me ajuda a segurar a barra, que tem grande responsabilidade em tudo o que sou hoje, tanto no âmbito profissional, quanto no pessoal e que me faz muito feliz. Quero registrar nessas poucas, simples, contudo apaixonadas palavras, toda minha gratidão, admiração e todo meu amor à minha linda esposa, Graciela.
Quero deixar claro que é uma honra participar dessa equipe e uma grande responsabilidade também, por se tratarem de pessoas altamente qualificadas. Admiro cada um de vocês, grandes profissionais e grandes pessoas.
Abraços e beijos para todos e até breve.

http://www.oralodontologia.com.br/
Rodrigo Coimbra de Almeida
Reabilitação Oral - CRORJ 25939


12 de mar. de 2010

Mini-implantes Ortodônticos




Caso Clínico: observe quanto o dente movimentou em apenas 4 meses de tratamento.






No dia-a-dia do consultório, em conversas com colegas de trabalho, pacientes e amigos, muitos querem saber sobre mini-implantes ortodônticos. Como as dúvidas são grandes, achei que este seria um bom assunto "clínico" para o blog. O mini-implante ortodôntico é um auxiliar no tratamento ortodôntico. O nome assusta, pois é logo comparado ao implante tradicional, colocado cirurgicamente para substituição de um dente ausente. Mas só tem em comum a composição, titânio, mas não na mesma proporção. O miniimplante ortodontico tem compostos que não permitem a osseointegração, sendo removido facilmente do osso quando necessário.

Para fixar um mini-implante, escolhemos o local e anestesiamos o pontinho da mucosa que será perfurada. É uma anestesia superficial, somente "uma gotinha", para interromper a sensibilidade neste ponto da mucosa e no periósteo (parte mais externa do osso) abaixo dela. Não é preciso uma cirurgia, cortar gengiva ou osso, nada disso. Não ultrapassa 10 mm para dentro do osso, e não existe dor na perfuração após o periósteo, por isso a anestesia não é profunda. E a expessura máxima existente é de 2 mm. É rosqueado manualmente e pode ser feito pelo próprio ortodontista. Para removê-lo é só desrosquear, e isso é feito sem anestesia e sem dor.

A "cabeça" do mini implante ortodontico fica aparecendo na mucosa e é onde engatamos elásticos ou fios ortodônticos. Em muitos tratamentos ortodônticos precisamos aplicar grandes forças nos dentes, e apoiar essas forças em outros dentes pode ser arriscado, e às vezes contra-indicado. Até então, a solução era o uso de aparelho extra-oral, o famoso "freio de burro". Com ele, o apoio é feito na nuca ou na cabeça, impedindo que dentes bem posicionados sofram a reação da força aplicada nos dentes mal-posicionados. Este é o princípio dos mini-implantes: aguentar a reação da força. Chamamos esse tipo de mecânica de "ancoragem ortodôntica". O mini-implante substitui o aparelho extra-oral na maioria dos casos, mas não em casos ortopédicos, quando a atuação da força é no osso e não nos dentes. Explicando melhor: se é criança e está em fase de crescimento, usando extra-oral para "controlar" o crescimento da maxila, só ele resolve.

Agora veja as fotos que coloquei lá no início deste texto. São de um adulto e queremos aplicar uma força grande para intruir (mover "para dentro" do osso) um dente superior extruído. Falta o dente inferior, e a extrusão ocorreu por falta de contato. Há casos em que o dente superior desce até tocar a gengiva inferior, onde deveria estar o dente perdido, o antagonista. Antes da existência do mini-implante a solução era "cortar" a coroa do dente, tratar o canal e reabilitar proteticamente. Outra solução era o uso do extra-oral, com apoio no topo da cabeça, uso de 24h por dia . Ou extrair o dente e reabilitar com implante ou prótese. Mas com os mini-implantes o movimento foi conseguido em apenas 4 meses, e o mais importante: o dente permaneceu hígido (preservado, sem desgastes).

Os mini-implantes também são auxiliares excelentes para distalizações e retrações (levar os dentes anteriores para trás), quando o tratamento ortodôntico envolve extrações dentárias e não podemos perder nem meio milímetro do espaço que foi conseguido. Nestes casos, sem o uso contínuo do extra-oral ou, atualmente, dos mini implantes ortodonticos, não conseguiríamos evitar a perda de ancoragem (movimento indesejável dos dentes posteriores para frente, ocupando o lugar das extrações). Quando ocorre esta perda de ancoragem torna-se impossível corrigir por completo a projeção dentária anterior ("dentuça").
Esses são apenas alguns exemplos de como os miniimplantes ortodonticos são essenciais na ortodontia atual, substituindo o extra-oral com maior eficiência, tanto na ancoragem quanto na estética.
Quem tiver mais dúvidas ou quiser mais exemplos de indicações ou fotos de casos clínicos é só nos procurar em http://www.oralodontologia.com.br/.
Raquel Moreira Guimarães
Ortodontista - CRORJ 27986





















































































































































































25 de fev. de 2010

Primeiras Palavras

Raquel Moreira Guimarães
Ortodontista - CRORJ 27986

Bom, já pensei durante horas. Tenho que escrever alguma coisa. A dúvida é básica, inicial mesmo. Faço dois blogs, um pessoal e outro profissional? Não, não. Um já tá difícil. Misturar não é o problema, minha vida é assim. E o título? Raquel Guimarães? Raquelorto? Mas a Oral não é só eu. Oral? Oralodontologia?

Tá, depois eu resolvo, vou escrever um pouco sobre algo que nunca tive dúvidas: Odontologia! É bem simples. Digo que nasci dentista, pois desde pequena já sabia o que queria, sem pais nem parentes dentistas.


E agora vou pular alguns anos, anos que meus pais e meus padrinhos se sacrificaram para eu estudar em boas escolas. O mínimo que eu poderia fazer é ser grata e me dedicar. Foi o que fiz. Faço até hoje.


E lá estava eu, 18 anos, perdida em um mundo chamado UFRJ. Para quem cresceu em Niterói e não andava solta por aí, é muita diferença. Estudar em uma Universidade Federal, em tempo integral e longe de casa não foi fácil. E não estou falando só do curso, do estudo. Ônibus lotado e em pé todos os dias, ponte Rio-Niterói P-A-R-A-D-A. Esta lembrança me dá arrepios. E os gastos são muitos: passagem, alimentação, livros, xérox... Material odontológico é muuuuuito caro! E pesado para carregar.


Mas, como dizem, eu era feliz e não sabia!


Foi lá que a Oral começou. Digo isso porque nesta época conheci meus queridos amigos Tati (Tatiana Murteira) e Niterói (Rodrigo Coimbra). Ela, minha colega de turma. Ele, um veterano obcecado por cirurgia. Mas só nos tornamos amigos mais tarde, já formados, quando nos reencontramos. O respeito profissional já existia, pois já éramos talentosos na faculdade. Hoje, Tati é uma excelente endodontista e, Rodrigo, tomou conta das cirurgias e das reabilitações, incluindo implantes. Eu me especializei em Ortodontia. Uma vez levei meu pai à Macaé para realizar um tratamento endodôntico com a Tati, pois nesta época ela só trabalhava lá. E hoje ele está entregue à reabilitação com o Rodrigo.

Ah! Não posso esquecer de apresentar toda a equipe, que é brilhante: Eliza (ACD), Renata Marinho (ortodontista e radiologista), André Temperini (periodontista), Isabela Marinho (endodontista), Adelany (odontopediatra), Paula Tepedino (estética), Corina (fonoaudióloga) e Adriana (psicóloga). Confio meus amigos e minha família a eles, afinal, são competentes e trabalham com amor. Todos escreverão um pouquinho neste blog.

Lá na Oral é assim, nossos pacientes são nossos amigos. Claro que há pessoas que preferem algo mais formal. Quem se identifica, fica. Certa vez fizemos uma reunião: tínhamos que ser mais profissionais, mais sérios, parar de ficar batendo papo com os pacientes na recepção, parar de abraçá-los e beijá-los, de rir... Mas não conseguimos mudar. Sempre que possível, vamos aos aniversários, casamentos, trocamos receitas, conversamos, rimos e choramos com eles.

Logo que me formei ouvi um sermão de uma dentista mais experiente. Como fiquei triste! Foi mais ou menos assim : "VOCÊ NÃO TEM POSTURA! CONVERSA MUITO COM O PACIENTE. TEM QUE SER MAIS FRIA, FALAR MENOS!". Oito anos depois estou aqui, igualzinha, e sei que chorei a toa.

E voltando ao presente, queremos colocar umas estórias legais aqui, casos clínicos interessantes... será que dá para postar mais de uma foto por texto?

Vou descobrir isso agora....